No futuro próximo...
7 semanas de gravidez
8 semanas de gravidez
9 semanas de gravidez
Também lhe interessa…
Explicamos-te como evolui o teu corpo na sexta semana de gravidez e como vai crescendo o teu bebé. Vamos ajudar-te a esclarecer todas as tuas dúvidas.
Estás na 6ª semana de gravidez. Tu e o pai talvez se estivessem a perguntar se era mesmo verdade que estavam grávidos, e daí que tenham procurado alguma manifestação da gravidez.
Não te preocupes se ainda não notares nenhum sintoma próprio da gravidez: a sua ausência é totalmente normal e não significa que haja problema algum.
Deves saber, no entanto, que durante esta semana o embrião continua a crescer e a desenvolver-se a passos de gigante.
O embrião tem agora 14 somitos, os pilares do sistema músculo-esquelético do bebé e mede 4 milímetros deste o alto da cabeça até às nádegas.

Grávida de 6 semanas
Esta 6ª semana de gravidez é crucial porque o coração está a começar a fazer os seus primeiros e potentes batimentos e porque o tubo neuronal – que será o cérebro e a medula espinal – está a começar a fechar-se.
Na sua cabeça vão aparecer pequenos buracos lado a lado que, depois, serão os seus olhos; a sua cabeça vai inclinar-se para o corpo e na sua cabeça e pescoço vão esboçar-se a mandíbula inferior e a sua laringe.
E ainda há mais! Na parte inferior vai desenvolver-se uma protuberância parecida com uma cauda que, depois, dará lugar às suas pernas. Na parte superior também vão aparecer os primórdios dos seus braços.
Nesta altura da gravidez, a bolsa gestacional continua a fornecer a maior parte da alimentação do bebé.
Tal se deve ao facto de o cordão umbilical, que contém vasos sanguíneos que entram e saem da placenta em formação, ainda não fornecer ao bebé todos os nutrientes de que este necessita.
Na 6ª semana de gravidez, o que vai começar a fazer circular o sangue à volta do corpo do bebé é o seu coração.
Idade do embrião: 4 semanas.
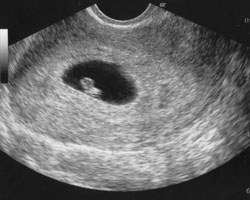
Mostramos-te, em seguida, um vídeo e uma ecografia correspondentes à 6ª semana. É impressionante a rapidez com que se desenvolve o embrião.

Ecografia de 6 semanas
Além das mudanças mais evidentes, quando estás grávida de 6 semanas o teu corpo sofre grandes transformações no que se refere ao aspeto interno da estrutura óssea e de todos os órgãos.
Modificam-se, mesmo que seja de forma impercetível, o ritmo da respiração, o metabolismo, a circulação sanguínea, o funcionamento do fígado e dos intestinos.
Devido à agitação hormonal, também é provável que as tuas feições se suavizem, que a pele esteja mais esticada e o teu cabelo mais espesso.
Aos sintomas mais habituais da gravidez (enjoos, vómitos, intolerância a certos cheiros e alimentos, cansaço e sonolência, etc.) talvez se juntem agora a congestão nasal, a obstipação, o excesso de salivação ou o ardor de estômago.
Não desesperes: tudo se deve ao facto do teu corpo se estar a preparar para receber uma nova vida.
Agora que já sabes que estás grávida de 6 semanas, provavelmente vais começar a perguntar-te em que dia vai nascer o teu bebé.
Para fazeres este cálculo, podes retroceder no tempo até ao primeiro dia da tua última menstruação e, a partir daí, contar 40 semanas ou 280 dias.
Se não, podes esperar uns dias para que o teu ginecologista de realize um scan que meça o bebé e que determine a sua data prevista de parto.
A este respeito deves saber que a maioria dos bebés nasce dentro das duas semanas anteriores ou posteriores à data prevista, se bem que se considera um bebé nascido a termo se nasce entre as semanas 37 e 42 de gestação.
Se fores uma das poucas mulheres que engravidou apesar de estar a utilizar métodos contracetivos, é pouco provável que o bebé tenha sofrido algum dano, mas deves apressar-te a deixar de tomar a pilula, parar as injeções contracetivas ou tirar o adesivo contracetivo, se estes forem os métodos que usavas.
Se, por outro lado, tens um implante contracetivo ou um sistema ou dispositivo intrauterino – DIU – deves ir o quanto antes ao teu ginecologista para que o retire.
A 6ª semana de gravidez é ideal para continuar a ter um estilo de vida saudável e manteres-te ativa. Dar passeios aproveitando a luz do dia é muito saudável, pois o sol é fonte de vitamina D e esta, por sua vez, ajuda o corpo a absorver o cálcio, que é vital para o desenvolvimento ósseo do embrião.
Dado que o tubo neural se está a começar a fechar, é igualmente recomendável continuar a tomar 400 mg diários de ácido fólico, um hábito que se deve manter até às 12 semanas de gravidez.
.....
Algumas grávidas sofrem mais enjoos e vómitos do que outras. O que acontece quando és das que têm mais e perdes peso?
Falamos sobre os enjoos e os vómitos na gravidez!
Sentes-te mal, dói-te a cabeça ou tens uma contratura e não sabes se podes tomar algo? Vamos falar do paracetamol.
Descobre se podes tomar paracetamol na gravidez!
O que faltava, já que te constipaste e não podes respirar pelo nariz! Enquanto esperas pelo que te diz o médico, vamos orientar-te.
Descobre como aliviar o nariz tapado durante a gravidez!
Se trabalhas longas horas sentada diante do computador do escritório, convém-te ler isto.
Descobre como te deves cuidar quando trabalhas sentada com um computador!
ELENA RUIZ
7 semanas de gravidez
8 semanas de gravidez
9 semanas de gravidez
Também lhe interessa…